Значение методов визуализации при остром коронарном синдроме (ОКС) определяется вероятностью развития ишемической болезни сердца (ИБС). При высокой вероятности ИБС у больных с ОКС ведущее значение приобретает коронарография (КГ) не только как метод диагностики, но и как метод лечения больных с ОКС. У больных со средней и низкой вероятностью развития ИБС в случае появления болей в грудной клетке не всегда потребуется проведение КГ. У таких больных ведущими среди методов визуализации могут оказаться нагрузочные пробы для выявления ишемии миокарда, в частности, нагрузочная эхокардиография (ЭхоКГ), а также мультиспиральная компьютерная томография (МСКТ) для выявления коронарного кальция и оценки состояния коронарных артерий (КА).
ЭхоКГ представляет собой основной метод неинвазивной визуализации при ОКС по целому ряду причин. Это наиболее доступный и широко распространенный неинвазивный метод, который позволяет проводить диагностику быстро и непосредственно у постели больного без использования ионизирующих излучений, в связи с чем может быть использован неоднократно на всех стадиях инфаркта миокарда (ИМ). Поэтому в соответствии с рекомендациями Европейского общества кардиологов (2011 г.) ЭхоКГ должна стандартно использоваться у всех пациентов в отделениях кардиореанимации и интенсивной терапии [1].
Значение ЭхоКГ у больных с ОКС определяется двумя моментами. С одной стороны, ЭхоКГ позволяет проводить диагностику ИМ на основе выявления нарушений локальной сократимости (НЛС) миокарда желудочков. С другой стороны, ЭхоКГ позволяет идентифицировать неишемические состояния, вызывающие боль в грудной клетке и инфарктоподобные изменения на электрокардиограмме (ЭКГ). Это может наблюдаться у больных с гипертрофической кардиомиопатией (ГКМП), аортальным стенозом, тромбоэмболией легочной артерии (ТЭЛА), расслоением аорты, при перикардитах и некоторых других состояниях.
ГКМП свойственна клиническая триада, включающая стенокардию, нарушения ритма и синкопальные состояния. Другим важным обстоятельством может быть указание на наличие случаев внезапной смерти у родственников пациента в семейном анамнезе в сочетании с систолическим шумом при аускультации и нередкими инфарктоподобными изменениями на ЭКГ у этих больных. Изменения ЭКГ обычно проявляются глубокими отрицательными зубцами Т в грудных отведениях (рис. 1), заставляющих врача предполагать развитие интрамуральных очаговых изменений миокарда левого желудочка (ЛЖ).
Рисунок 1. ЭКГ больного с гипертрофической кардиомиопатией.
Это нередко приводит к типичному сценарию у таких больных с неоднократной их госпитализацией в стационар с подозрением на развитие ИМ при всяком обращении за медицинской помощью по поводу возникновения болей в грудной клетке. В итоге при расспросе пациент указывает на якобы перенесенные им множественные ИМ, которых может быть до 5—10 и более. При ЭхоКГ у таких больных выявляется выраженная асимметричная гипертрофия межжелудочковой перегородки (МЖП) ЛЖ небольших размеров. Эти изменения нередко сопровождаются динамической обструкцией выносящего тракта ЛЖ с характерными для нее движениями створок митрального (переднесистолическое движение створок митрального клапана — МК к МЖП) и аортального клапанов (среднесистолическое прикрытие створок аортального клапана) (рис. 2).
Рисунок 2. Выраженная эксцентричная гипертрофия левого желудочка с толщиной межжелудочковой перегородки 2,8 см у больного с гипертрофической кардиомиопатией.
Подобная картина ЭхоКГ и отсутствие типичной динамики на ЭКГ позволяют установить диагноз ГКМП. Следует отметить, что у больных с ГКМП при ЭхоКГ могут быть выявлены НЛС в зонах миокарда, соответствующих выраженной гипертрофии, обычно в базальных и средних отделах МЖП. Подобные НЛС обычно не свидетельствуют в пользу ИМ, а обусловлены относительной гипокинезией значительно гипертрофированного миокарда. Выявляемые при этом зоны нарушенной сократимости в большей степени соответствуют локализации значительно гипертрофированного миокарда, а не стандартным зонам его коронарного кровоснабжения.
Инфарктоподобные изменения ЭКГ могут также наблюдаться при выраженной гипертрофии ЛЖ другого генеза, чаще всего при аортальном стенозе или длительной артериальной гипертензии. Выявление стеноза аортального клапана, отсутствие НЛС ЛЖ при ЭхоКГ и отсутствие динамики ЭКГ позволяет дифференцировать аортальный стеноз при ОКС.
Боль в грудной клетке не относится к числу типичных симптомов при ТЭЛА, однако может встречаться от 10% [1] до 34% случаев [2]. МСКТ является методом выбора среди визуализирующих способов диагностики ТЭЛА. Дефекты наполнения контрастного вещества внутри артерий свидетельствуют о наличии тромбоэмболов в стволе, главных и долевых ветвях легочной артерии с чувствительностью 95—99%. Для сегментарных ветвей легочной артерии чувствительность ниже — 65—75%. При ЭхоКГ редко удается непосредстванно визуализировать тромбоэмболы в легочной артерии и ее ветвях (2—4%) [2, 3]. При этом у таких пациентов при ЭхоКГ признаки легочной гипертензии, трехстворчатая регургитация и дилатация правых отделов сердца являются нередкой находкой.
Несмотря на большие возможности ЭхоКГ при дифференциальной диагностике ОКС, все же основное значение придается ЭхоКГ для диагностики ИМ и его осложнений, оценке локализации ИМ, распространенности поражения миокарда и прогноза.
При использовании методик, позволяющих визуализировать сердце, появление признаков потери жизнеспособного миокарда или НЛС относится к числу необходимых признаков для диагностики ИМ [4].
Основным ультразвуковым (УЗ) методом диагностики нарушений сократимости является двухмерная ЭхоКГ. М-режим имеет вспомогательное значение, так как не позволяет оценить сократимость целого ряда отделов ЛЖ (переднебоковых и заднеперегородочных, нередко передних и задних). При этом НЛС следует оценивать, опираясь на синхронную запись отведения ЭКГ.
При ЭхоКГ основой диагностики острого ИМ является выявление НЛС. Однако всегда следует помнить, что НЛС могут быть вызваны и целым рядом других патологических состояний, как связанных с ишемией миокарда, к которым относятся старый ИМ, острая ишемия, оглушение и гибернация миокарда, или их сочетание, так и другими, не связанными с ишемией, причинами НЛС (кардиомиопатии, миокардиты и др.).
В случае регистрации отчетливых НЛС, соответствующих зонам кровоснабжения из основных КА, мы можем провести первичную диагностику и полагать, что такая распространенность НЛС, скорее всего, обусловлена каким-то ишемическим состоянием, но каким конкретно, можем сказать только после анализа клинической картины заболевания, что является важнейшим принципом УЗ-диагностики ИМ. Таким образом, необходимо трактовать НЛС только с учетом клинической и картины ЭКГ у каждого конкретного пациента.
Для диагностики повторных и рецидивирующих ИМ очень важна ЭхоКГ в динамике.
У больных со стенокардией напряжения НЛС при ЭхоКГ в покое обычно не выявляются.
От НЛС следует отличать другие варианты изменений сократимости или асинергии, обусловленные изменением характера движения различных отделов миокарда ЛЖ вследствие их несинхронного сокращения.
Основные состояния, для которых характерны асинергии миокарда, приведены в таблице.
Таблица. Основные состояния, которым свойственны асинергии миокарда и соответствующие им зоны миокарда с асинергией.
Примечание. МЖП — межжелудочковая перегородка; ЭКС — элекгрокардиостимуляция; ЛЖ — левый желудочек.
Как представлено в таблице, асинергии миокарда свойственны целому ряду состояний, нередко патологических, но не связанных непосредственно с ишемией миокарда. Наиболее ярким примером асинергии является парадоксальное движение МЖП при объемной перегрузке правого желудочка (ПЖ). Парадоксальное движение МЖП легко отличить от дискинезии МЖП, так как ему свойственно систолическое утолщение в отличие от систолического истончения при дискинезии. Наряду с парадоксальным движением МЖП при объемной перегрузке правых камер сердца асинергия МЖП может наблюдаться при блокаде левой ножки пучка Гиса (БЛНПГ), при электрокардиостимуляции (ЭКС) и у больных после операций на сердце со вскрытием перикарда. Варианты движения МЖП при БЛНПГ, ЭКС ПЖ, синдромах преждевременной деполяризации желудочков многообразны и также могут затруднять дифференциальный диагноз асинергий и гипокинезии. В таких случаях целесообразно использование М-режима с синхронной записью отведения ЭКГ. В отличие от гипокинезии, для асинергий характерно сохранение систолического утолщения миокарда и нередко наличие нескольких систолических волн. У больных после операций на сердце со вскрытием перикарда нередко наблюдается так называемая послеоперационная перегородка, характеризующаяся ее парадоксальным или неопределенным движением, особенно в ранние сроки после операции.
Пролапс створок митрального клапана МК нередко приводит к асинергии заднебоковых отделов ЛЖ, что особенно заметно при сканировании сердца в вертикальном положении пациента. Как уже отмечалось ранее, выраженная гипертрофия стенок ЛЖ может приводить к снижению сократимости гипертрофированных отделов миокарда даже в отсутствие поражений, соответствующих данным сегментам КА.
Таким образом, при асинергиях (в отличие от НЛС) обычно наблюдается систолическое утолщение стенки, характеризующее их как активный, но несинхронный процесс сокращения миокарда. Наряду с этим, в отличие от НЛС асинергии не свойственна топическая логика поражения, зависящая от кровоснабжения соответствующих КА. Знание состояний, которым свойственны асинергии миокарда, также может помочь при дифференцировке асинергий от собственно НЛС миокарда.
Эхокардиографическая оценка поражений сердца при ОКС. После острой окклюзии КА примерно через 30 мин начинает развиваться некроз миокарда, распространяясь от эндокарда к эпикарду и приводя к трансмуральному поражению миокарда в течение 4—6 ч. Как следствие длительной ишемии миокарда развивается необратимый некроз миокарда с выраженными ранними и поздними осложнениями.
НЛС ЛЖ появляются в тех случаях, когда толщина поврежденной стенки миокарда превышает 20% от толщины стенки ЛЖ [5]. Из этого следует, что при мелкоочаговых поражениях миокарда ЛЖ ЭхоКГ не позволяет определенно судить о наличии ИМ. При повреждении миокарда от 20 до 50% от толщины стенки ЛЖ (нетрансмуральные ИМ и ИМ без формирования Q зубца), как правило, регистрируется гипокинезия соответствующей стенки и истончения стенок в последующем не наблюдается. Если же толщина поврежденной стенки миокарда превышает 50% от толщины стенки ЛЖ, что обычно наблюдается при трансмуральном или Q-образующем ИМ, тогда развивается акинезия стенки. При этом толщина стенки остается нормальной в первые недели ИМ. В последующем к 4—6-й неделе от развития ИМ по мере формирования рубца может наблюдаться истончение стенки с увеличением ее эхогенности. Такие изменения в виде гипо- и акинезии стенки ЛЖ с ее истончением и увеличением эхогенности свидетельствуют в пользу рубцовых измерений миокарда ЛЖ. Следует отметить, что с течением времени может происходить восстановление нарушенной сократимости стенки без ее истончения и увеличения эхогенности. Это зависит как от объема некроза, так и эффективности лечения. Раннее восстановление коронарного кровотока может существенно уменьшить зону НЛС вплоть до полного восстановления нормальной сократимости миокарда.
Здесь уместно еще раз подчеркнуть важность оценки НЛС желудочков с учетом зон кровоснабжения основными КА как для ЛЖ (рис. 3), так и для ПЖ (рис. 4). Это позволяет не только выявить поражения миокарда, но и оценить их локализацию и распространенность.
Рисунок 3. Схема кровоснабжения левого желудочка основными коронарными артериями.
ПМЖ — передняя межжелудочковая ветвь левой коронарной артерии, ОА - огибающая артерия, ПКА - правая коронарная артерия.
Рисунок 4. Схема кровоснабжения правого желудочка основными коронарными артериями.
ПП — правое предсердие, ПЖ - правый желудочек, ЛП—левое предсердие, ЛЖ — левый желудочек, ВТПЖ — выносящий тракт правого желудочка, ЛКА — левая коронарная артерия, ПКА — правая коронарная артерия.
Таким образом, при остром ИМ НЛС тесно связаны с его распространенностью. При мелкоочаговом ИМ НЛС нередко отсутствуют или выявляются невыраженные нарушения (гипокинезия, реже акинезия) в 1—2 сегментах. При крупноочаговых ИМ НЛС выявляются значительно чаще, они бывают более выраженными и распространенными (регистрируются обширные зоны акинезии или даже дискинезии), что может приводить к существенному снижению глобальной сократимости ЛЖ. В остром периоде ИМ может наблюдаться компенсаторная гиперкинезия интактного миокарда. НЛС, компенсаторная гиперкинезия и снижение глобальной сократимости ЛЖ в совокупности с клинико-лабораторными данными позволяют достаточно четко верифицировать ИМ. Однако отсутствие НЛС не исключает развития ИМ. Даже при крупноочаговых, но нераспространенных ИМ или после проведения адекватного тромболизиса нередко при ЭхоКГ могут не выявляться НЛС и отсутствовать признаки снижения глобальной сократимости ЛЖ.
В остром периоде трансмурального ИМ может наблюдаться ранняя дилатация ЛЖ, которая проявляется систолическим выпячиванием стенки ЛЖ и ее истончением, что обычно отчетливо выявляется при двухмерном исследовании [6]. Ранняя дилатация завершается с началом отложения коллагена в пораженном очаге и образования рубца, и при этом далеко не всегда трансформируется в хроническую аневризму сердца [7, 8].
Распространенность и выраженность НЛС, выявляемая при ЭхоКГ, обычно достаточно точно отражает массу пораженного миокарда при окклюзии, но эта закономерность нарушается в случае реперфузии миокарда. Это может быть объяснено наличием«оглушенного» миокарда, восстановление которого происходит постепенно. В связи с этим в первые 2 нед ИМ с реперфузией ЭхоКГ может преувеличивать истинную зону некроза из-за «оглушенного» миокарда или вследствие реперфузионного повреждения. Другой причиной переоценки размеров зоны некроза может быть эффект подтягивания эндокарда нормального миокарда несокращающимся соседним пораженным миокардом (так называемый эффект подтягивания — «tethering»).
У пациентов с ранее перенесенными ИМ (при: сроках более 6 мес) распространенность и выраженность НЛС имеют тенденцию к недооценке объема некроза, измеренного при аутопсии [9]. В ряде случаев процесс ремоделирования желудочков приводит к изменению тенденции от переоценки зоны некроза в ранние сроки (первые 2 нед) к недооценке зоны некроза в более поздние сроки (спустя 6 мес).
Несмотря на эти ограничения, объем пораженного миокарда и систолическая дисфункция ЛЖ являются важнейшими факторами, определяющими выживаемость у больных острым ИМ. Прогностическим значением обладают как индекс НЛС ЛЖ, так и фракция выброса (ФВ) ЛЖ. У больных с небольшой зоной НЛС большее по сравнению с ФВ ЛЖ прогностическое значение имеет индекс НЛС. Это объясняется компенсаторной гиперкинезией интактного миокарда, который препятствует снижению глобальной ФВ при акинезии инфарцированныхучастков миокарда и при этом не сказывается на индексе НЛС. При более распространенных ИМ с большим вовлечением пораженного миокарда доля компенсаторно гиперкинетичных сегментов оказывается меньше и прогностическое значение индекса НЛС и ФВ ЛЖ становится равнозначным [10].
ЭхоКГ позволяет не только выявлять ИМ и оценивать распространенность поражения миокарда, но также имеет ведущее значение в диагностике ряда осложнений ИМ.
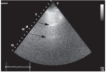
Отек легких. При отеке легких у больных острым ИМ частота летальных исходов в течение месяца достигает 20—40% даже в эру фибринолиза [11]. У больных с острой левожелудочковой недостаточностью (отеком легких) при УЗИ легких наблюдается появление множественных УЗ-артефактов по типу хвоста кометы от поверхности легких. В норме при УЗИ легких вследствие реверберации с определенной периодичностью наблюдаются одна или две преимущественно горизонтальные параллельные линии, расположенные позади плевры (рис. 5).
Рисунок 5. Схема кровоснабжения правого желудочка основными коронарными артериями.
Ультразвуковое исследование легких в норме. Регистрируются горизонтально расположенные реверберационные сигналы (стрелки).
У больных с отеком легких над передней и латеральной поверхностями легких диффузно появляются множественные вертикально расположенные УЗ-артефакты по типу хвоста кометы или «ультразвуковые кометы легких» (УКЛ) (рис. 6).
Рисунок 6. Ультразвуковое исследование легких у больного с отеком легких.
Множественные вертикально расположенные сигналы реверберации от междольковых перегородок, свидетельствующие о наличии внесосудистой жидкости в легких.
Появление этих артефактов при интерстициальном и альвеолярном отеке легких обусловлено утолщением междольковых перегородок альвеол за счет увеличения количества внесосудистой жидкости. По сути эти артефакты также являются реверберациями, но исходящими от утолщенных за счет жидкости междольковых перегородок, прилежащих к плевре. На фоне интенсивной терапии диуретиками УКЛ при отеке легких могут исчезать уже через несколько часов. Конечно, выявление УЗ-артефактов по типу хвоста кометы не является специфичным только для отека легких, а может регистрироваться при других патологических состояниях, сопровождающихся утолщением междольковых перегородок, например, у больных с легочной патологией, приводящей к фиброзу париетальной плевры или междольковых перегородок. Единичные УЗ-артефакты по типу хвоста кометы могут наблюдаться и в норме, а в нижних межреберных промежутках могут быть и множественные УКЛ. В таких случаях следует полагаться на клиническую картину заболевания и на выраженный эффект от терапии мочегонными у больных с отеком легких. Важно, что методика УЗИ легких для выявления УКЛ может быть выполнена практически на любом УЗ-сканере, включая переносные приборы, и не требует длительного обучения персонала.
Аневризма сердца. ИМ может осложниться формированием истинной или ложной аневризмы. Ложная аневризма формируется в результате несмертельных разрывов свободной стенки ЛЖ и является крайне редким осложнением ИМ. Доказательством ложного характера аневризмы является образование ее стенок из организовавшихся сгустков крови и перикарда при полном отсутствии островков миокарда, однако это отличие может быть установлено только при морфологическом исследовании [12]. Наиболее частым местом формирования ложной аневризмы после ИМ (до 82%) является базальный отдел заднебоковой стенки ЛЖ. Почти у 48% больных ложные аневризмы существуют бессимптомно и обнаруживаются случайно [13]. При УЗИ ложная аневризма может быть предположена по перерыву миокарда в месте узкой щели (перешейка), соединяющей полости желудочка и аневризмы. При цветовом допплеровском исследовании в перешейке визуализируется двунаправленный (в полость аневризмы и из нее) поток, иногда круговой кровоток в полости самой аневризмы [14]. При подозрении на ложную аневризму следует настойчиво искать поток в перешейке аневризмы, особенно из тех позиций, в которых ось перешейка расположена параллельно УЗ-лучу, изменяя при этом шкалу скорости кровотока.
Характерными чертами псевдоаневризмы являются следующие:
- крутой переход от нормального миокарда к псевдоаневризме;
- острый угол между нормальным миокардом и аневризмой;
- узкий «перешеек» в месте разрыва;
- отношение диаметра «перешейка» к максимальному диаметру псевдоаневризмы менее 0,5;
- частичное заполнение полости псевдоаневризмы тромбом.
Истинные аневризмы обычно формируются после крупноочаговых ИМ при окклюзии передней нисходящей артерии с большой зоной инфаркта. Характерным признаком истинных аневризм являются диастолическая деформация полости желудочка и истончение его стенки (рис. 7).
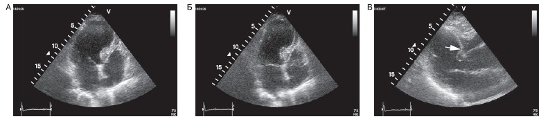
Рисунок 7. Аневризма верхушки левого желудочка с деформацией полости левого желудочка и истончением стенки аневризмы.
А — верхушечный доступ, позиция 4 камер в диастолу; Б — верхушечный доступ, позиция 4 камер в систолу; В — парастернальный доступ, данная ось левого желудочка; истончение стенки в области межжелудочковой перегородки (стрелка).
Дискинезия нередко наблюдается в зоне аневризмы, но она не является характерным признаком аневризмы. В отличие от аневризмы дискинезия представляет собой систолический феномен.
В зависимости от характера выпячивания стенки желудочка различают «диффузные» («плоские») и мешотчатые аневризмы [13].
Частота формирования истинных аневризм после ИМ варьирует по данным разных авторов от 5 до 40%. Чаще всего истинные аневризмы формируются в области верхушки и передней стенки ЛЖ, реже в нижней стенке. Аневризмы боковой стенки встречаются редко, а аневризмы ПЖ — крайне редко [15]. У больных с крупноочаговыми ИМ в случае восстановления кровотока в инфаркт-связанной КА аневризмы наблюдаются существенно реже, чем у больных, у которых не удалось восстановить кровоток (7,2% по сравнению с 18,8%) [16].
ЭхоКГ позволяет не только выявлять аневризмы, их локализацию, форму, размеры, но и определять функциональное состояние миокарда, не вовлеченного в полость аневризмы [17]. Это очень важно для решения вопроса о выполнении аневризмэктомии у больных с сердечной недостаточностью и с желудочковыми аритмиями.
Внутрижелудочковый тромбоз. В зоне некроза миокарда и в полости аневризмы могут формироваться пристеночные тромбы. ЭхоКГ служит методом выбора для диагностики внутрижелудочковых тромбов и позволяет определить их размеры, форму, подвижность, акустическую плотность, характер контуров тромба и степень его прилежания к стенке желудочка. Чувствительность ЭхоКГ в диагностике тромбов в ЛЖ составляет 95%, а специфичность — 86% [18]. Тромбы формируются в остром периоде ИМ и всегда сопровождаются нарушениями сократимости желудочка. Внутрижелудочковые тромбы в большинстве случаев наблюдаются при передних ИМ и обычно локализуются в верхушке ЛЖ (рис. 8).
Рисунок 8. Пристеночный тромбоз верхушки левого желудочка у больного острым инфарктом миокарда.
А — верхушечный доступ, позиция 4 камер; Б — верхушечный доступ, позиция 2 камер.
Максимальная частота формирования тромбов наблюдается на 3-и сутки ИМ. Однако тромб может сформироваться и значительно раньше, особенно при обширных зонах акинезии в области верхушки сердца. Возможно формирование тромба и через несколько недель после ИМ.
При ЭхоКГ тромбы представляют собой дополнительные эхопозитивные образования, отличные от эндокарда и в разной степени проникающие в полость ЛЖ. Поверхность тромба может быть четко дифференцирована от подлежащего эндокарда и тромб может быть визуализирован минимум в двух различных позициях. Акустические характеристики острого тромбоза обычно сопоставимы с таковыми миокарда. Длительно существующие тромбы могут иметь более высокую акустическую плотность вплоть до участков кальцификации. Очень важна характеристика степени прилегания тромба к эндокарду. Иногда тромбы могут иметь центральное просветление и тогда они напоминают кисты. Однако анамнез и зоны НЛС позволяют правильно оценить данные ЭхоКГ в таких случаях.
Потенциально более опасными для возникновения тромбоэмболических осложнений являются подвижные фрагментированные тромбы с неровными контурами, неравномерной и низкой плотности, нешироко прилежащие к стенке и выступающие в просвет желудочка (рис. 9).
Рисунок 9. Эмбологенные тромбы верхушки левого желудочка у больных острым инфарктом миокарда.
А — округлый тромб нешироко прилежащий к стенке (стрелка); Б,В — тромбы с неоднородной акустической плотностью; Г — тромб с неоднородной акустической плотностью в режиме расцвечивания изображения.
По данным S. Domenicucci и соавт. [19], наиболее мощным предиктором тромбоэмболий оказалось изменение характера контуров тромба, их количества, степени прилежания к эндокарду, а также акустических характеристик тромба при динамическом ЭхоКГ-наблюдении. Частота развития эмболических осложнений наиболее высока в первые 2 нед ИМ и уменьшается в последующие 6 нед. После этого происходит эндотелизация тромботических масс с уменьшением их эмбологенности. Терапия антикоагулянтами уменьшает риск развития эмболических осложнений и способствует растворению тромбов, хотя возможно и их спонтанное растворение.
Длительно существующие пристеночные тромбы имеют четкие ровные контуры, широко предлежат к стенке желудочка, характеризуются достаточно высокой акустической плотностью, сопоставимой с плотностью нормально сокращающегося миокарда [20]. Такие тромбы играют формообразующую роль и укрепляют стенку аневризмы [21]. Трабекуляция и дополнительные хорды в области верхушки ЛЖ могут приводить к ложной диагностике тромбов. Внутрисердечные тромбы следует отличать от реверберации, которая имеет вид выпуклого в полость желудочка образования с радиальной исчерченностью (рис. 10). Краевая поверхность тромба чаще более контрастна и представляет собой выпуклые и вогнутые участки, тогда как при реверберации ее свободный край всегда выпуклый и в отличие от тромба не имеет тесной связи со стенкой сердца [22]. При обнаружении подозрительных на тромбы структур необходимо получить их изображение из различных сечений. Проведение исследования оправдано не только в традиционной серой шкале, но и с использованием режимов расцвечивания («колоризации») изображения, которые позволяют глазу исследователя воспринимать большее количество оттенков, чем при серошкальном изображении (см. рис. 9, г).
Рисунок 10. Эффект реверберации в области верхушки левого желудочка создает ложное впечатление о наличии тромба (стрелка) у больного острым инфарктом миокарда.
Современная терапия существенно повлияла на частоту тромбообразования у больных ИМ. В исследованиях, выполненных в дотромболитический период, частота развития тромбозов при передних ИМ достигала 56% [23]. Тенденция реперфузионной терапии к уменьшению размеров ИМ приводит и к меньшей частоте тромбообразования. В исследовании GISSI-2 частота формирования тромбов на фоне тромболитической терапии составила уже 28% [24]. Частота тромбообразования может быть уменьшена и в результате использования механической реперфузии миокарда. Так, в исследовании A. Rehan и соавт. частота формирования тромбов у больных с первичными чрескожными коронарными вмешательствами (ЧКВ) в сочетании с применением ингибиторов гликопротеина IIb/IIIa составила только 4% и все эти случаи наблюдались у больных с передним ИМ с частотой 11% [25].
При формировании больших аневризм и/или при существенном снижении глобальной сократимости ЛЖ в полости аневризмы или желудочка может наблюдаться эффект спонтанного контрастирования, указывающий на повышенный риск тромбообразования в полостях сердца.
Митральная регургитация. Наиболее частой причиной митральной регургитации (МР) при ИБС является дисфункция папиллярной мышцы у больных с ИМ заднебоковой локализации. МР при этом нередко бывает эксцентрично направленной, и методом выбора для ее диагностики является цветовое допплеровское исследование. Дисфункция паппилярной мышцы может наблюдаться и вследствие ишемии или оглушения миокарда [26]. В этих случаях наблюдается преходящая МР. Неполное смыкание створок МК из-за ремоделирования ЛЖ также может приводить к МР. Почти у 50% больных с гемодинамически значимой МР не выслушивается систолический шум из-за быстрого выравнивания давления в левых камерах сердца, особенно при низком сердечном выбросе или из-за хрипов в легких при их отеке [27].
МР нередко встречается у больных острым ИМ и ее частота увеличивается в 2 раза у больных с сердечной недостаточностью [28]. Генез МР у больных острым ИМ может быть различным. Выявляемая при остром ИМ МР не обязательно является его следствием. У отдельных больных МР может быть результатом ранее существующей недостаточности клапана вследствие его структурных поражений, например, при ревматическом поражении или при пролапсе МК. Такие поражения МК следует дифференцировать от собственно ишемической МР. Неоценимую помощь в таких случаях могут оказать данные анамнеза и результаты предшествующих ЭхоКГ.
Ишемическая МР представляет собой клапанную недостаточность, обусловленную ишемией или ИМ в отсутствие первичной патологии створок и хорд. В основе ишемической МР лежит несколько механизмов. Во-первых, дисфункция папиллярных мышц представляет собой нарушение функции пораженной папилярной мышцы или собственно стенки ЛЖ. Это приводит к подтягиванию передней или задней створок МК с нарушением их контакта. Во-вторых, процесс ремоделирования ЛЖ после трансмурального ИМ может приводить к смещению как самой стенки, так и прикрепляющейся к ней папиллярной мышцы по направлению к верхушке или к задней части ЛЖ с нарушением контакта створок и развитием МР. В-третьих, дилатация кольца МК может также сопровождаться МР той или иной степени. В этих случаях в зависимости от локализации ИМ и степени ремоделирования ЛЖ одна из створок МК вовлекается в большей степени в патологический процесс по сравнению с другой, что приводит к эксцентричной МР. Эксцентричный характер регургитации нередко затрудняет оценку ее истинной выраженности, которая может быть недооценена.
Наиболее редкой, но и наиболее грозной причиной МР является частичный надрыв или полный отрыв папиллярной мышцы. Следует отметить, что отрывы папиллярных мышц не коррелируют с тяжестью и распространенностью некроза при ИМ. Так, по данным S.D. Clements и соавт. [29], только у 5 из 14 больных с отрывом папиллярной мышцы были ИМ с Q зубцом, а у остальных 9 пациентов на ЭКГ имелись изменения только конечной части желудочкового комплекса. Это находит подтверждение и на аутопсии. У 50% больных с отрывом папиллярных мышц ИМ локализуется субэндокардиально [30]. У больных с нижним ИМ чаще наблюдаются отрывы заднемедиальной папиллярной мышцы. Это обусловлено кровоснабжением данной папиллярной мышцы из одной КА (задняя нисходящая артерия) по сравнению с переднелатеральной папиллярной мышцей, которая кровоснабжается двумя КА (передней нисходящей и огибающей артериями). Хорды от каждой папиллярной мышцы крепятся к обеим створкам МК, поэтому при полном отрыве одной из папиллярных мышц страдают обе створки МК.
Для отрыва папиллярной мышцы при двухмерной ЭхоКГ характерно следующее : 1) наличие в ЛЖ мобильного дополнительного образования, прикрепляющегося к хорде; 2) отсутствие кончика папиллярной мышцы; 3) появление пролапса МК. По данным допплеровского исследования обнаруживается тяжелая МР. При этом быстро происходит увеличение левых камер сердца, особенно левого предсердия. Отношение площади струи МР может уменьшаться по отношению к площади дилатированного левого предсердия, создавая ложное впечатление об уменьшении степени митральной недостаточности. У таких пациентов без хирургической коррекции прогноз неблагоприятный.
Разрывы МЖП. Другим редким и чрезвычайно грозным осложнением ИМ является разрыв МЖП с формированием ее дефекта. На первом этапе наблюдается шунтирование крови слева направо с выраженной и быстро прогрессирующей правожелудочковой недостаточностью, степень которой зависит от размеров дефекта и состояния миокарда ПЖ, который также может быть вовлечен в некроз [13].
Разрыв МЖП наблюдается при обширных трансмуральных ИМ с выраженными нарушениями сократимости МЖП. У этих больных нередко наблюдается острая дилатация МЖП [32]. Разрывы чаще наблюдаются в верхушечном отделе МЖП, но могут происходить в любом месте перегородки обычно на 3—6-е сутки ИМ, когда наиболее выражены процессы миомаляции. При проведении тромболитической терапии можно отметить более раннее развитие разрывов МЖП с пиком в первые 24 ч ИМ с существенным уменьшением частоты возникновения этого грозного осложнения ИМ. Так, в дотромболитический период частота разрывов МЖП составляла от 1 до 2% от всех ИМ и достигала 5% при фатальных ИМ [33]. При широком использовании тромболитиков частота разрывов МЖП составляет лишь 0,2% [34], а первичные ЧКВ также приводят к уменьшению частоты разрывов МЖП [35]. Если тромболитическая терапия проводится спустя 12 ч от начала болей, то это сопряжено с увеличением частоты разрывов МЖП [36].
Факторами риска разрывов МЖП являются первый ИМ, возраст старше 65 лет, артериальная гипертензия и женский пол [37, 38]. Кроме того, большая частота разрывов наблюдается у больных без анамнеза стенокардии и при ИМ в зоне кровоснабжения одной КА [37, 38]. Таким образом, разрывы МЖП чаще следуют после внезапной окклюзии одной КА, которая васкуляризирует зону со слабо развитым коллатеральным кровотоком. В отличие от разрывов папиллярных мышц, разрывы МЖП с одинаковой частотой наблюдаются у больных ИМ с поражением передней нисходящей и правой КА по сравнению с боковыми ИМ (зона огибающей артерии) [39]. Разрывы МЖП при передних ИМ обычно наблюдаются в дистальной трети МЖП, а при поражении правой КА — в базально-нижних отделах перегородки.
Выделяют два морфологических типа разрыва МЖП: с формированием прямого соединения между желудочками или в виде канала открывающегося в желудочки на разных уровнях [40]. УЗИ, особенно цветовое допплеровское картирование (ЦДК), является методом выбора в диагностике разрывов МЖП. Двухмерное исследование позволяет диагностировать раннее расширение и истончение перегородки в зоне некроза, прямое соединение между желудочками. При ЦДК визуализируется шунтирование крови в ПЖ в виде турбулентного потока через дефект МЖП. При увеличении размеров дефекта кровоток может трансформироваться в ламинарный. В зависимости от соотношения давления в желудочках в различные фазы сердечного цикла кровоток может быть двунаправленным. Ширина потока при ЦДК коррелирует с размерами дефектов во время операции [41]. Максимальный градиент давления между желудочками, измеренный в постоянноволновом допплере позволяет судить о давлении в ПЖ. Однако это справедливо не у всех пациентов. Например, у больных со сложным и непрямолинейным ходом дефекта возможна недооценка межжелудочкового градиента с переоценкой давления в ПЖ. При ЭхоКГ у этих больных нередко регистрируется дилатация ПЖ со снижением его систолической функции и парадоксальным движением МЖП. Кроме того, наблюдаются признаки повышения давления в равом предсердии: а) дилатация правого предсердия; б) смещение МЖП в сторону левого предсердия на протяжении сердечного цикла; в) дилатация нижней полой вены без ее реакции на дыхание.
Несмотря на очень высокую смертность при разрывах МЖП, как с применением хирургических методов коррекции, так и без них, ЭхоКГ может играть определенную прогностическую роль. Сложные разрывы, вовлечение ПЖ и разрывы задней части перегородки после нижних ИМ сопровождаются большей смертностью, которая определяется степенью недостаточности ПЖ. Кроме того, задние разрывы МЖП обычно являются более сложными с большей протяженностью поражения миокарда, чем отличаются от передних, которые имеют прямое соединение и более ограниченную зону вовлеченного миокарда.
Перикардиты. Двухмерная ЭхоКГ служит методом выбора в диагностике даже небольшого количества жидкости в перикарде у больных с эпистенокардическим перикардитом или при синдроме Дресслера. Перикардиты обычно наблюдаются при трансмуральных ИМ, поражающих всю толщину стенки миокарда вплоть до эпикарда. У пациентов с перикардитами обычно имеется большая распространенность ИМ, ниже ФВ ЛЖ и большая частота развития сердечной недостаточности. Следует отметить крайнюю редкость развития синдрома Дресслера в эру реперфузии [42]. Течение перикардитов у больных ИМ обычно благоприятное.
ИМ ПЖ. Обычно наблюдается при обширных ИМ задней стенки ЛЖ. Эхокардиографическая диагностика базируется на оценке НЛС стенки ПЖ, дилатации и снижении глобальной сократимости ПЖ с уменьшением подвижности фиброзного кольца трехстворчатого клапана. Из-за сложного строения и формы ПЖ до сих пор отсутствует общепринятая методика вычисления объемов ПЖ по данным ЭхоКГ и, следовательно, его глобальной сократимости. Качественно оценить глобальную сократимость ПЖ можно с использованием импульсноволнового режима допплеровской визуализации миокарда. Снижение максимальной систолической скорости движения фиброзного кольца трехстворчатого клапана менее 11,5 см/с в позиции на 4 камеры может указывать на снижение глобальной сократимости ПЖ (ФВ менее 45% с чувствительностью 90% и специфичностью 85%) в отсутствие выраженной трехстворчатой регургитации [43].
Заключение. Таким образом, эхокардиография представляет собой важный метод визуализации у больных с острым коронарным синдромом, зачастую позволяющий выявить причину болей в грудной клетке, оценить поражение миокарда и диагностировать осложнения при инфаркте миокарда.



